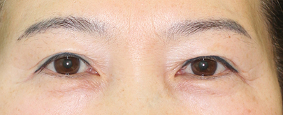
Before & After

실제 아이리스성형외과에서 바비눈성형을 받으신 분들입니다.

전후사진더보기

Online Consultation

아이리스온라인상담

바로가기 바로가기

KAKAO TALK Plus Friend

카카오톡플러스친구

바로가기 바로가기

Location

찾아 오시는 길

바로가기 바로가기

Call Center

고객 상담